Cardiac

Examples of heart MRI studies

Image
mouse heart 2-chamber cine MRI
2-chamber view

Dynamic cardiac imaging 

By synchronising rapid imaging with the cardiac cycle it is possible to generate “movie” sequences from which information can be obtained about the function of the heart. Images can be acquired in any orientation, but usually they are acquired in the short-axis, 2- and 4-chamber views. Standard cardiological parameters such as left ventricular volume, ejection fraction and cardiac output can be determined. Contrast agents enable the progression of myocardial infarcts to be monitored in longitudinal studies.

 

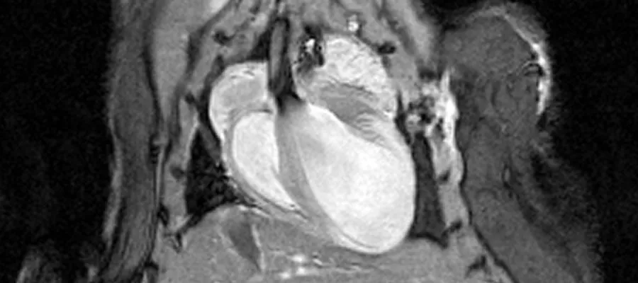
A Gadolinium contrast agent can be used to measure infarct size (pale grey myocardium). Images at twelve different phases of the cardiac cycle are acquired in approximately 3 minutes (Images courtesy of Jansen lab and Gray lab).

Image
short-axis view MRI of mouse heart
short-axis view
Image
LateGd MRI of mouse heart
LateGd MRI of mouse heart

 

References

White CI, et al. Cardiomyocyte and Vascular Smooth Muscle-Independent 11β-Hydroxysteroid Dehydrogenase 1 Amplifies Infarct Expansion, Hypertrophy, and the Development of Heart Failure After Myocardial Infarction in Male Mice. Endocrinology. 2016 Jan;157(1):346-57.

Zhao X, et al. Optical projection tomography permits efficient assessment of infarct volume in the murine heart postmyocardial infarction. Am J Physiol Heart Circ Physiol. 2015 Aug 15;309(4):H702-10.

Gray GA, et al. Imaging the healing murine myocardial infarct in vivo: ultrasound, magnetic resonance imaging and fluorescence molecular tomography. Exp Physiol. 2013 Mar;98(3):606-13.

Marshall I, et al. Application of kt-BLAST acceleration to reduce cardiac MR imaging time in healthy and infarcted mice. MAGMA. 2014 Jun;27(3):201-10.

Fortune S, et al. Development and characterization of rodent cardiac phantoms: comparison with in vivo cardiac imaging. Magn Reson Imaging. 2012 Oct;30(8):1186-91.