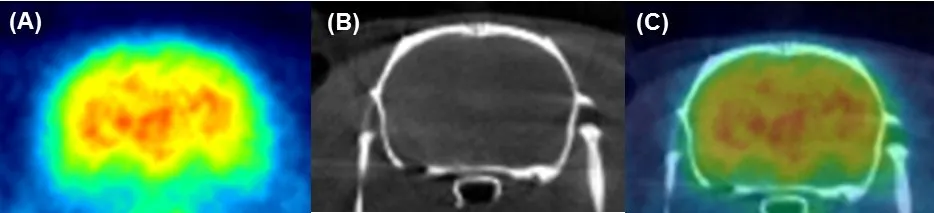
Metabolic glucose consumption rate measured in brain of adult rats Image The images show a coronal section of a rat brain illustrating 18F-FDG uptake using the microPET (A), correspondent microCT coronal section (B), and co-registered microPET/CT image of same level (C). This article was published on 2024-08-22