02 Feb 22. Prof Dweck BHF grant

Edinburgh study hopes to shed new light on heart disease.

Image
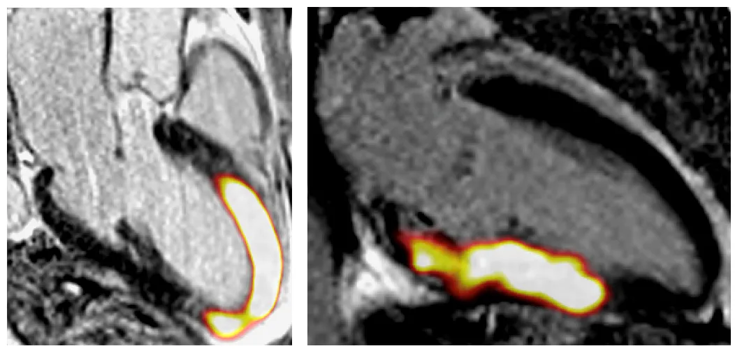
Two patients who had a recent heart attack scanned with the new imaging technique (FAPI-PET). Areas of active scarring are seen as bright yellow orange in the areas of the heart muscle damage by the heart attack. Areas of normal heart muscle appear black.
Two patients who had a recent heart attack scanned with the new imaging technique (FAPI-PET). Areas of active scarring are seen as bright yellow orange in the areas of the heart muscle damage by the heart attack. Areas of normal heart muscle appear black.

Researchers at the University of Edinburgh are to use pioneering imaging techniques to investigate scarring in the heart, which could pave the way for major advances to save and improve lives from heart disease.

Scarring of the heart tissue and muscle occurs in many different conditions including after heart attacks and in heart valve disease. When scar tissue builds up, it prevents the heart from beating efficiently, and is a major cause of heart failure – a debilitating condition for which there is no cure.

Up until now, scanning technology has only been able to detect scarring in patients once it has already formed, reducing treatment options.

Now, scientists have been given a grant of £671,000 from the British Heart Foundation (BHF) for a clinical study using state-of-the art scanning and imaging which, for the very first time, hopes to identify scarring in patients in the early stages as it is developing. This could mean patients being treated more effectively and ultimately, potentially before the effects of scarring are irreversible.

Researchers say their study may also enable them to detect scarring in other areas of the heart they have previously been unable to see.

 

Professor Marc Dweck, Chair of Clinical Cardiology at the University of Edinburgh and a consultant cardiologist, is leading the project and explains:

We are really excited to get started on this study. Up to this point, we have only been able to see scar in the heart that has already formed, perhaps many years or decades ago. Our work hopes to shed important light on scarring that is actually occurring now, at the time of the scan. Is the heart scarred or is it scarring? This in turn will help increase our understanding about how scar develops in the heart and how best to treat patients and prevent the development of heart failure. Another benefit of this type of procedure is that it is non-invasive which is obviously good news for patients.

 

If the study proves successful, researchers believe such imaging techniques could potentially be used for a whole range of heart diseases.

Professor Dweck continues:

The ability to image scarring in real time, as it is developing in the heart muscle, would be a major scientific advance, which could improve our knowledge about a wide range of heart muscle disorders and speed up the development of new treatments. This could really change how we diagnose and treat patients.

The study will take place over the next three years and is expected to involve around 200 patients.

 

72-year-old Gordon Sharpe, from Edinburgh, is taking part in Professor Dweck’s project. Gordon had a heart attack at home in November 2021. He was taken to Edinburgh Royal infirmary where he was found to have a blocked artery and underwent coronary angioplasty to improve the blood supply to his heart.

Gordon explains:

When I was offered the opportunity to participate in the study, I jumped at the chance. I wanted to learn as much as I could about the damage and scarring of my heart muscle. I strongly believe that this line of research is essential if we are to learn how to develop best-timed treatment and therapies which could greatly improve the quality and scope of life for those who have heart attacks in the future. There is no doubt in my mind that this type of research funded by the BHF, will spawn other studies and prove highly productive in both saving and improving lives.

Personally, being involved has been so illuminating. I’ve been able to see the changes that have taken place in my own heart and cardiovascular system since my heart attack and how these changes are likely to affect me in the future, supported by excellent advice on the steps I can take myself to improve my own quality of life going forward.

 

The BHF is the largest independent funder of research into heart and circulatory diseases in Scotland and has recently launched its new “This is Science” campaign, raising awareness of the power of science to save and improve the lives of people affected by heart and circulatory diseases.

Professor Dweck’s project is one of more than 100 currently funded by the BHF in ten Scottish universities. Heart and circulatory diseases cause nearly 50 deaths a day in Scotland – and around 700,000 people in Scotland are living with their daily burden.  

James Jopling, Head of BHF Scotland, said:

This is an example of how cutting-edge research is transforming our understanding of heart disease, including coronary heart disease – the cause of most heart attacks - and one of Scotland’s biggest killers. It is why the BHF is funding vital research up and down the country, made possible only thanks to the generosity of the public. For more than 60 years this support has helped the BHF turn research that once seemed like 'science fiction' into reality and together we are powering science to save and improve more lives.

 

For more information on the BHF’s life saving research and the BHF’s “This is Science” campaign, visit www.bhf.org.uk

 

 

Social media tags and titles

Press release: Edinburgh study hopes to shed new light on heart disease.

@MarcDweck @BHFScotland @TheBHF @EdinUniCVS @EdinburghUni @EdRadiopharmacy @AnnaKateBarton