04 Oct 21. Edinburgh Imaging Radiochemistry - FAPI

As the Edinburgh Imaging Radiochemistry facility temporarily closes for refurbishment, we look back at the facility's success with fibroblast activation protein inhibitor (FAPI) radiotracers.

Image
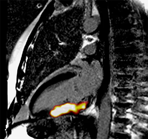
PET-MR image of the heart in 2-chamber & short axis views. The bright yellow-orange region is where 68-Ga-FAPI is taken up in active scar tissue which correlates to damage from a recent heart attack. This tells us that 68-Ga-FAPI PET identifies tissue damage very well & when combined with anatomical imaging, is a promising method to help us learn more about human cardiovascular scarring.
PET-MR image of the heart in 2-chamber & short axis views. The bright yellow-orange region is where 68-Ga-FAPI is taken up in active scar tissue which correlates to damage from a recent heart attack. This tells us that 68-Ga-FAPI PET identifies tissue damage very well & when combined with anatomical imaging, is a promising method to help us learn more about human cardiovascular scarring.

The Edinburgh Imaging Radiochemistry facility was opened in 2010 & currently houses a cyclotron with supporting radiochemistry suites to create both GMP & research PET radiotracers.

The EI Radiochemistry facility has now temporarily closed for refurbishment.

Edinburgh Imaging & NHS radio-pharmacy collaborated successfully to produce the first ever Gallium radiotracer cardiac images in patients who recently suffered heart attacks.

To the best of the team’s knowledge, their initial scans obtained in patients who had recently suffered heart attacks were the first 68Gallium (68Ga)-FAPI PET-MR performed in patients without cancer.

The team secured ethical, ARSAC & R&D approval to scan a larger number of patients & healthy volunteers to learn more about the scarring process in the heart & blood vessels following a heart attack.

The FAPI fibrosis study continues to recruit patients following myocardial infarction to allow the team to discover more about the timing & pattern of the healing response within the myocardium & vasculature in this condition.

The team are investigating how to maximise the number of scans it is possible to perform with each batch of 68Ga-FAPI which makes this exciting technology more useful clinically & may help reduce the small radiation dose it entails.

 

Read more here: 27 Apr 21. Edinburgh Imaging FAPI accomplishment

 

 

 

Social media tags & titles

As the Edinburgh Imaging Radiochemistry facility temporarily closes for refurbishment, we look back at the facility's success with fibroblast activation protein inhibitor (FAPI) radiotracers.

@EdinUniMedicine @EdinburghBQ @MarcDweck @AnnaKateBarton @EdinUniCVS @EdRadiopharmacy