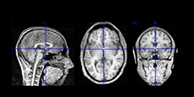
Structural magnetic resonance imaging (MRI) is a non-invasive technique for examining the anatomy and pathology of the brain (as opposed to using functional magnetic resonance imaging [fMRI] to examine brain activity. This produces images which can be used for clinical radiological reporting as well as for detailed analysis. Overview Purpose Detail Contact Professor Joanna Wardlaw Relevant links What is a MR scan? Brain & nervous system Some MRI scan sequences are volumetric, meaning that measurements can be made of specific brain structures to calculate volumes of tissue. These scans can also be reconstructed in any plane. The volumes of regional grey and white-matter (of which the brain is composed) change considerably during childhood and adolescence, and may change again in old age. There is considerable evidence as well that many psychiatric conditions are associated with abnormal (either increased or decreased) regional brain volumes compared with age- and sex-matched healthy subjects. These volumetric scans are also used to map fMRI and DTI scans which have low resolution with associated structures. Many projects depend on detailed structural imaging to measure brain volumes, the volume of subregions, to look at diffuse changes in grey/white matter or to assess localised lesions. Such studies include comparing the appearance of a cerebral infarct on different imaging modalities over time and relating these to the patient's clinical features and outcome. They may also determine whether those from families at risk of developing psychiatric disorders have subtle but significant differences in brain structure in particular regions of the brain which are thought to malfunction at the time of the development of symptoms. Many of these studies simply involve having a highly trained neuroradiologist read the images, but others require detailed image analysis with computers and software packages that can be very time consuming and labour intensive, even with modern machines. Careful discussion is always required prior to the start of a project to determine the amount of analysis that might be required. Image The above figure shows structural images measuring tissue density. Staff contact If you wish further information on the above activities, please contact Prof Joanna Wardlaw. Prof Joanna Wardlaw This article was published on 2024-08-22