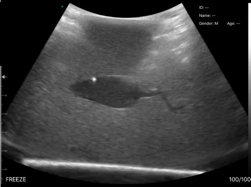
Professor Carmel Moran and University of Edinburgh researchers delivered a public outreach activity on preclinical imaging to a Scouts group. Image Ultrasound image of the object embedded in gel. On the 10th March 2022, imaging expert Professor Carmel Moran, along with Dr David Hardman (Usher Institute) and Xanthe Miller (MPhys UG student), delivered a public outreach activity to the group of 20 Scouts at Craigmillar Park Church Hall. Their scout leader is Dr Natalie Homer. The activity entitled ‘Imaging Inside-Out’ involved a hands-on experience where participants used lightweight hand-held ultrasound scanners of varying frequencies to obtain live images of 3D printed miniaturised 3D shapes and mice embedded at different orientations in opaque gels. This activity encouraged a lively and informed discussion between the Scouts and University of Edinburgh researchers about medical imaging and the use of animals in research. The participants reflected back on what they learnt and gave positive feedback, such as ‘good’, ‘curious’, and ‘happy’, about their experience during the activity. The activity was funded by Professor Carmel Moran's ScotPEN Wellcome Engagement Award. To view more photos from the 'Imaging Inside Out' Scouts evening, please click here. Relevant links Professor Carmel Moran Dr David Hardman Dr Natalie Homer Centre for Cardiovascular Science (CVS) Usher Institute CVS news article Edinburgh Imaging Edinburgh Preclinical Imaging What is an Ultrasound scan? Social media tags and titles Professor Carmel Moran and University of Edinburgh researchers delivered a public outreach activity on preclinical imaging to a Scouts group. @EdinUniMedicine @EdinUniCVS @CarmelIMMoran1 @EdinUniUsher Publication date 30 Mar, 2022