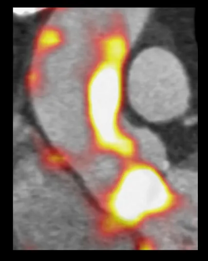
Can a new imaging approach help identify when patients with a bicuspid valve require surgery and thus save lives? Project title: Assessment of Risk in Thoracic Aortopathy using 18F-Sodium Fluoride: the AoRTAS study Funded: The British Heart Foundation Dr Niki Walker (lead researcher), Golden Jubilee National Hospital, Glasgow Image Prof David Newby, University of Edinburgh The aortic valve is a one-way valve between the heart and the aorta, the main artery from the heart that distributes oxygen-rich blood to the body. Normally, the aortic valve has three small cusps or leaflets (tricuspid valve) that open widely and close securely to regulate blood flow, allowing blood to flow from the heart to the aorta and preventing blood from flowing backwards into the heart. However, approximately 1 in 100 people, only have two small cusps or leaflets (bicuspid valve) instead of having three valves. For those with bicuspid valves, there is an increased likelihood of people developing heart disease in later life. For example, the aorta may become weak, meaning it can swell, tear or even burst. This can happen in early adult life when the consequences are often fatal. Image Although bicuspid aortic valve disease is present at birth, it usually is not diagnosed until adulthood because the defective valve can function for years without causing symptoms. It is often picked up incidentally with a murmur and the person’s General Practitioner will refer them to specialists to have a heart scan to evaluate the heart, valves and aorta. Currently, these patients remain under the care of their specialist, to have annual checks to try and assess if or when they will require surgical treatment to repair or replace the valve and part of the aorta, usually when they are in their 40s or 50s. This collaborative research between Glasgow and Edinburgh will test a new imaging approach, using 18F-sodium fluoride PET-MR, which highlights damaged parts of the aorta to assess whether this new imaging test can help to identify those patients who are at higher risk of such complications. Patients will be scanned at the Edinburgh Imaging Facility QMRI, using the Siemens Biograph mMR scanner. If successful, this technique could improve how we select which patients require surgery at certain times in order to prevent catastrophic complications of this condition. Projects details Grant amount: £343,823 Start date: 01 March 2019 Duration: 2.5 years No. of patients to be scanned: 100 Reference: BHF clinical research training fellowship FS/19/15/34155 Relevant links The British Heart Foundation Dr Niki Walker Professor David Newby Dr Alex Fletcher Edinburgh Imaging Facility QMRI Edinburgh Imaging equipment Heart / cardiovascular What is a PET-MR scan? Publication date 05 Mar, 2019