19 Feb 19. New preclinical Ultrasound scanner

In January 2019, a new preclinical ultrasound scanner, Vevo 3100 manufactured by FUJIFILM Visualsonics, arrived in the preclinical ultrasound facility, based at the Edinburgh Bioquarter campus.

Image
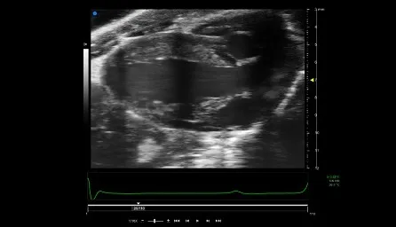
Figure 1: High resolution image of left ventricle on adult mouse heart
Figure 1: High resolution image of left ventricle on adult mouse heart

The scanner was funded by a Wellcome Trust equipment grant (Moran, Chapman, Holmes, Gray, Curtis, Eddleston, Evans, Norman, Baker, Newby - £350K) and replaces our previous preclinical ultrasound scanner (Vevo 770, purchased in 2008).

The Vevo3100 has new features providing the ability to acquire anatomical, haemodynamic and functional data from embryonic zebra-fish to rats. Specifically, new features include:

  • Measurement of cardiac function in 2D, 3D and 4D (Figure 1)
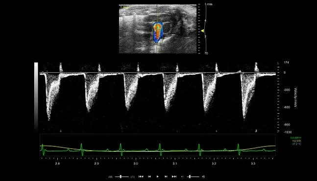
  • Colour and power Doppler imaging enabling the visualisation of blood flow within vessels (Figure 2)
  • Non-linear contrast imaging mode to quantify relative perfusion between regions of interest
  • Quantitative measurement of cardiac strain (radial, longitudinal and circumferential) (Figure 3)
  • Precise, repeatable and reliable ultrasound guided injections.
Image
Figure 2: Spectral Doppler (bottom) and colour Doppler showing measurement of blood flow in adult mouse pulmonary artery.
Figure 2: Spectral Doppler (bottom) and colour Doppler showing measurement of blood flow in adult mouse pulmonary artery.

 

Please contact either Adrian Thomson or Carmel M Moran if you would like to discuss the potential of ultrasound imaging within projects. Cost for access to the scanner is £60/hour until end of June 2019.

 

 

 

 

 

 

Image
Figure 3: Analysis screen showing radial and longitudinal strain at five points on murine left ventricular endocardial wall
Figure 3: Analysis screen showing radial and longitudinal strain at five points on murine left ventricular endocardial wall