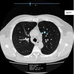
We are involved in early studies of CT lung cancer screening as well as incorporation of artificial intelligence tools for lung nodule detection, follow-up and management. HTML OverviewLung cancer is one of the most fatal cancers, with a poor outcome mostly due to late detection. The early identification of lung nodules is vital to ensure early stage (and treatable/curable) lung cancer is diagnosed. Edinburgh Imaging is playing a central role in this, working together with clinical colleagues at NHS Lothian and academic colleagues at the Usher Institute.There are several strands to this research:Development of novel nodule detection and characterization software, which serves as a back-up for radiologists and has been shown to improve detection of these early lung nodules. Software has been rolled out across NHS Lothian for detection of lung nodules on routine chest CT. A HDRUK funded project, INPACT, will further explore the impact of this software on patient managementDevelopment of a standardized reporting template with patient management according to established guidelines, once lung nodules are detected. A European project (PINPOINT), funded by Astra Zeneca and Aidence, will evaluate the automation of lung nodule detection and lung nodule management.Support of CT based lung cancer screening, which is focused on particular groups of people who are at increased risk for developing lung cancer. This first Scottish pilot particularly aims to develop ways of including those who are hard to reach, who tend to be in underprivileged areas around Edinburgh and beyond (the LUNGSCOT study). Computed tomography (CT) scan of the chest, demonstrating artificial intelligence (AI) detected lung nodule (in blue box). These nodules are at risk of being missed by radiologists, but require appropriate follow-up to enable early lung cancer detection. Lead lung cancer researcherProf Edwin van BeekTo discuss new research & collaborative imaging projects with Edinburgh Imaging, please contact: Edinburgh Imaging Enquiries: studies / collaborations / facilities Contact details Email: edimg.studyinfo@ed.ac.uk Research staff with a lung cancer focusDavid Senyszak Prof David Weller Dr Miguel Bernabeu Llinares Dr John MurchisonDr Rishi RamaeshDr Melanie MacKeanDr Ahsan Akram Current projectsCompleted projects Funding organisations and groupsOrganisations are listed alphabetically:AidenceAstra ZenecaChief Scientist Office (CSO)Health Data Research UK (HDR UK) Relevant links 02 Dec 21. Aidence press release01 Dec 21. Lung cancer imaging09 Aug 21. Aidence & AstraZeneca AI collaboration Relevant Edinburgh Imaging publications 20 May 22. Featured Paper. Validation of a deep learning computer aided system for CT based lung nodule detection, classification, and growth rate estimation in a routine clinical population07 May 22. Featured Paper. Lung tissue shows divergent gene expression between chronic obstructive pulmonary disease and idiopathic pulmonary fibrosis Relevant publications Caulo, A., et al. Integrated imaging of non-small cell lung cancer recurrence: CT and PET-CT findings, possible pitfalls and risk of recurrence criteria. Eur Radiol 22, 588–606 (2012). https://doi.org/10.1007/s00330-011-2299-8Mirsadraee S., et al. The 7th lung cancer TNM classification and staging system: Review of the changes and implications. World J Radiol. 2012 Apr 28;4(4):128-34. doi: 10.4329/wjr.v4.i4.128. PMID: 22590666; PMCID: PMC3351680.Wild, J.M., et al. MRI of the lung (1/3): methods. Insights Imaging 3, 345–353 (2012). https://doi.org/10.1007/s13244-012-0176-xBiederer, J., et al. MRI of the lung (2/3). Why … when … how?. Insights Imaging 3, 355–371 (2012). https://doi.org/10.1007/s13244-011-0146-8Biederer, J., et al. MRI of the lung (3/3)—current applications and future perspectives. Insights Imaging 3, 373–386 (2012). https://doi.org/10.1007/s13244-011-0142-zWalker AE., et al. Chest radiographs and the elusive lung cancer. Digit Med 2016;2:120-6Lee G., et al. Radiomics and its emerging role in lung cancer research, imaging biomarkers and clinical management: State of the art. European Journal of Radiology. 2016 Sep 10. https://doi.org/10.1016/j.ejrad.2016.09.005Biederer J., J et al. Screening for lung cancer: Does MRI have a role? European Journal of Radiology. 2016 Sep 16. https://doi.org/10.1016/j.ejrad.2016.09.016for the COPDGene Investigators, van Beek E. Lung Mass in Smokers. Academic Radiology. 2017 Aug 30;24(4):386-392. https://doi.org/10.1016/j.acra.2016.10.011International Workshop for Pulmonary Functional Imaging (IWPFI), Ohno Y, Kauczor H-U, Hatabu H, Seo JB, van Beek EJR. MRI for solitary pulmonary nodule and mass assessment: Current state of the art. Journal of Magnetic Resonance Imaging. 2018 Mar 23. https://doi.org/10.1002/jmri.26009 This article was published on 2024-08-22
HTML OverviewLung cancer is one of the most fatal cancers, with a poor outcome mostly due to late detection. The early identification of lung nodules is vital to ensure early stage (and treatable/curable) lung cancer is diagnosed. Edinburgh Imaging is playing a central role in this, working together with clinical colleagues at NHS Lothian and academic colleagues at the Usher Institute.There are several strands to this research:Development of novel nodule detection and characterization software, which serves as a back-up for radiologists and has been shown to improve detection of these early lung nodules. Software has been rolled out across NHS Lothian for detection of lung nodules on routine chest CT. A HDRUK funded project, INPACT, will further explore the impact of this software on patient managementDevelopment of a standardized reporting template with patient management according to established guidelines, once lung nodules are detected. A European project (PINPOINT), funded by Astra Zeneca and Aidence, will evaluate the automation of lung nodule detection and lung nodule management.Support of CT based lung cancer screening, which is focused on particular groups of people who are at increased risk for developing lung cancer. This first Scottish pilot particularly aims to develop ways of including those who are hard to reach, who tend to be in underprivileged areas around Edinburgh and beyond (the LUNGSCOT study). Computed tomography (CT) scan of the chest, demonstrating artificial intelligence (AI) detected lung nodule (in blue box). These nodules are at risk of being missed by radiologists, but require appropriate follow-up to enable early lung cancer detection. Lead lung cancer researcherProf Edwin van BeekTo discuss new research & collaborative imaging projects with Edinburgh Imaging, please contact: Edinburgh Imaging Enquiries: studies / collaborations / facilities Contact details Email: edimg.studyinfo@ed.ac.uk Research staff with a lung cancer focusDavid Senyszak Prof David Weller Dr Miguel Bernabeu Llinares Dr John MurchisonDr Rishi RamaeshDr Melanie MacKeanDr Ahsan Akram Current projectsCompleted projects Funding organisations and groupsOrganisations are listed alphabetically:AidenceAstra ZenecaChief Scientist Office (CSO)Health Data Research UK (HDR UK) Relevant links 02 Dec 21. Aidence press release01 Dec 21. Lung cancer imaging09 Aug 21. Aidence & AstraZeneca AI collaboration Relevant Edinburgh Imaging publications 20 May 22. Featured Paper. Validation of a deep learning computer aided system for CT based lung nodule detection, classification, and growth rate estimation in a routine clinical population07 May 22. Featured Paper. Lung tissue shows divergent gene expression between chronic obstructive pulmonary disease and idiopathic pulmonary fibrosis Relevant publications Caulo, A., et al. Integrated imaging of non-small cell lung cancer recurrence: CT and PET-CT findings, possible pitfalls and risk of recurrence criteria. Eur Radiol 22, 588–606 (2012). https://doi.org/10.1007/s00330-011-2299-8Mirsadraee S., et al. The 7th lung cancer TNM classification and staging system: Review of the changes and implications. World J Radiol. 2012 Apr 28;4(4):128-34. doi: 10.4329/wjr.v4.i4.128. PMID: 22590666; PMCID: PMC3351680.Wild, J.M., et al. MRI of the lung (1/3): methods. Insights Imaging 3, 345–353 (2012). https://doi.org/10.1007/s13244-012-0176-xBiederer, J., et al. MRI of the lung (2/3). Why … when … how?. Insights Imaging 3, 355–371 (2012). https://doi.org/10.1007/s13244-011-0146-8Biederer, J., et al. MRI of the lung (3/3)—current applications and future perspectives. Insights Imaging 3, 373–386 (2012). https://doi.org/10.1007/s13244-011-0142-zWalker AE., et al. Chest radiographs and the elusive lung cancer. Digit Med 2016;2:120-6Lee G., et al. Radiomics and its emerging role in lung cancer research, imaging biomarkers and clinical management: State of the art. European Journal of Radiology. 2016 Sep 10. https://doi.org/10.1016/j.ejrad.2016.09.005Biederer J., J et al. Screening for lung cancer: Does MRI have a role? European Journal of Radiology. 2016 Sep 16. https://doi.org/10.1016/j.ejrad.2016.09.016for the COPDGene Investigators, van Beek E. Lung Mass in Smokers. Academic Radiology. 2017 Aug 30;24(4):386-392. https://doi.org/10.1016/j.acra.2016.10.011International Workshop for Pulmonary Functional Imaging (IWPFI), Ohno Y, Kauczor H-U, Hatabu H, Seo JB, van Beek EJR. MRI for solitary pulmonary nodule and mass assessment: Current state of the art. Journal of Magnetic Resonance Imaging. 2018 Mar 23. https://doi.org/10.1002/jmri.26009