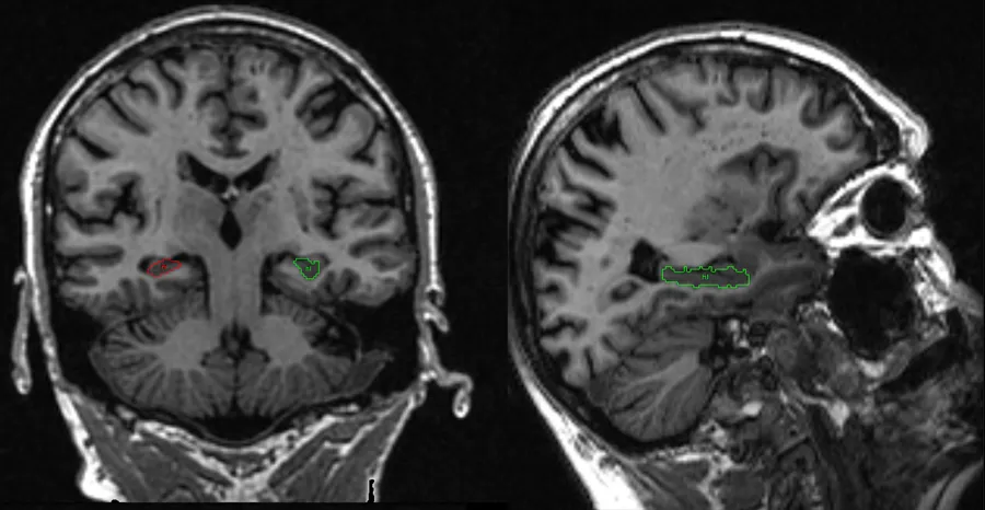
Manual delineation of hippocampus in community-dwelling non-demented adults. Image When analyzing specific parts of the brain (here a region called the hippocampus), it is often necessary to manually delineate these regions. The manual tracing here illustrates hippocampus. Hippocampus is important for memory. Reduction of hippocampal volume is associated with Alzheimer’s disease, multiple sclerosis, schizophrenia, & age-related cognitive decline. We assess changes in hippocampal volume & integrity in a large sample of community-dwelling non-demented ageing adults at 73, 76 & 79 years of age. Created by: Devasuda Anblagan, Ian Deary, Joanna Wardlaw Edinburgh DataShare for access to files Relevant links Professor Joanna Wardlaw Professor Ian Deary Devasuda Anblagan Brain & nervous system Dementia Multiple sclerosis This article was published on 2024-08-22